
Scielo Saude Publica The Future Incidence Of Leprosy A

Six Months Fixed Duration Multidrug Therapy In Paucibacillary

World Health Organization Who Antibiotic Regimen Against Other
Ilsl Internacional Journal Of Leprosy And Other Mycobacterial

Leprosy An Update Definition Pathogenesis Classification

Epidemiology Of Leprosy In Vietnam And The Effectiveness Of
Https Ww2 Health Wa Gov Au Media Files Corporate General 20documents Leprosy Pdf Watbcp Wa Leprosy Guideline Pdf
Relapse In Leprosy Topic Of Research Paper In Clinical Medicine

Histopathological Features In Leprosy Post Kala Azar Dermal
Https Www Omicsonline Org Open Access Relapse Of Multibacillary Leprosy Treated With Rifampicin And Ofloxacin A Case Report 2376 0427 1000267 97421 Html

The Cutaneous Infiltrates Of Leprosy Cellular Characteristics

Table 1 From Relapse In Leprosy Semantic Scholar

Geographic And Socioeconomic Factors Associated With Leprosy
Original Article Kusta Leprosy Diseases And Disorders

World Health Organization Who Antibiotic Regimen Against Other
![]()
Pdf A Drug Resistant Leprosy Case Detected By Dna Sequence

Pdf Changes In The Size And Number Of Skin Lesions In Pb Leprosy

Leprosy Mailing List Blog Lml Recurrence Rate Among Mb Patients

Rifampicin Chemoprophylaxis In Preventing Leprosy In Contacts Of

Monitoring And Detection Of Leprosy Patients In Southwest China A
Retreatment Of Leprosy Relapse

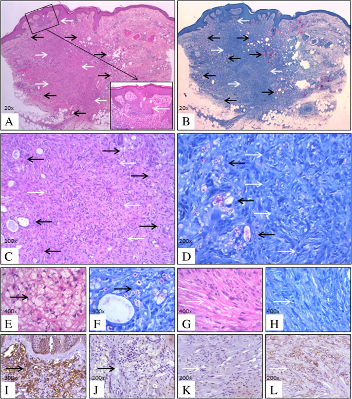
A Case Series Of Dermatofibromas Originating In Leprosy Lesions A
Lepromatous Leprosy Disease Malacards Research Articles Drugs

Pdf Clinical Relapse In Child Hood Leprosy

No comments:
Post a Comment